Sourires authentiques,
histoires vraies et de
nouvelles vies
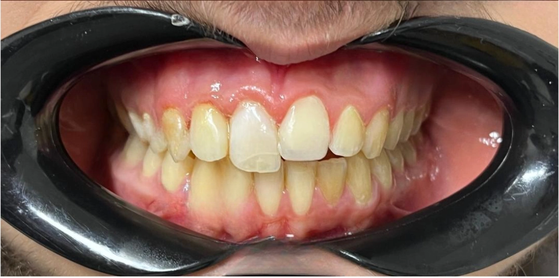
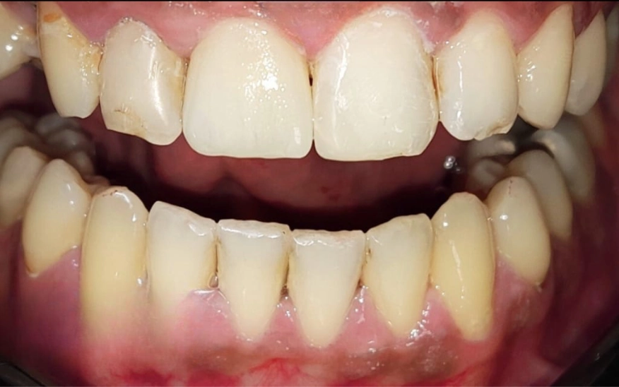
Découvrez le confort et la confiance que nos soins dentaires personnalisés ont apportés à des personnes de tous âges.



Votre confiance, selon leurs mots...
"
Un accueil chaleureux w khedma machallah
"
★★★★★
"
Bravos docteur Ya3tik Saha 🔥👌😷
"
★★★★★
"
Vraiment un beau travail, vous êtes le meilleur
"
★★★★★
"
Vraiment merci khedma mashallah
"
★★★★★
"
Un accueil chaleureux w khedma machallah
"
★★★★★
"
Bravos docteur Ya3tik Saha 🔥👌😷
"
★★★★★
"
Vraiment un beau travail, vous êtes le meilleur
"
★★★★★
"
Vraiment merci khedma mashallah
"
★★★★★
Voir nos patients heureux
Et plus…



Prêt à transformer votre sourire?
Voir les rendez-vous disponibles et profitez de la dentisterie bien faite.






